轉載從: Tech News 科技新報
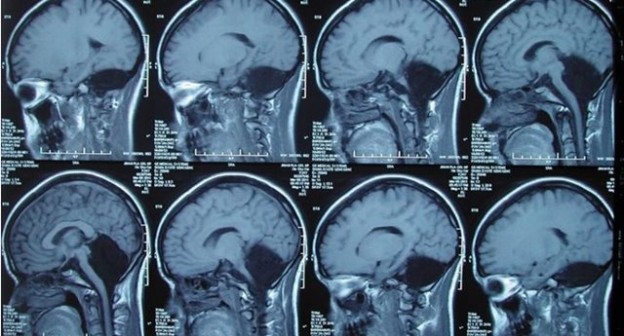
「無腦」「腦袋有洞」,這些罵人吃上官司的話,就字面意義來說真的會發生。中國一名 24 歲的女子在就醫後,醫師非常驚訝地發現,這名女子居然沒有小腦,而原本應該有小腦的部位(上圖大範圍黑色),則填滿了腦脊髓液。
這名女子市在長達一個月的嘔吐與噁心症狀結束後,到醫院看診。她告訴醫師,她的人生一直都處在頭暈的狀態,小時候直到 4 歲才能不用他人扶持而站立,7 歲才能自己走路,而且從來都走不穩,也無法跑與跳;直到 6 歲說的話才比較能讓人聽懂,也沒有進過學校念書。但她的父母與四個姐姐一個弟弟都正常,她也結婚生了一個正常的女兒。
當中國濟南軍區總醫院神經外科副主任張榮偉與功能神經外科中心副主任于鋒醫師等人掃瞄她的腦部,驚訝地發現腦後半部下方原本應該是小腦的部位空無一物,取而代之的是腦脊髓液,他們的報告發表在「腦」(Brain) 期刊。
小腦在過往的研究中說明,主要作用在人體各種動作的協調與較精細的控制,例如如何控制嘴與舌以便說話。一般認為小腦組織如果受損,人的動作能力會受到很大損害,不過張榮偉等人發現該名女子僅有中度動作障礙與輕微的口齒不清問題,可見腦部在早期發展階段的可塑性,讓該名女子就算沒有小腦,也有其他腦部位可以取代。
這並非醫學史上第一個類似的案例,他們表示過往還有其他 8 個類似的案例,但他們都有重度的精神障礙、癲癇及腦部大規模的結構異常,而且多數無法存活。
(圖片來源:張榮偉)
- A new case of complete primary cerebellar agenesis: clinical and imaging findings in a living patient
- Where’s My Brain? Woman’s Missing Cerebellum Went Unnoticed for 24 Years
- Extremely rare case of woman with no cerebellum puzzles doctors
(本文由 健康達人網 授權轉載)

