星期四, 23 4 月, 2026

旅 TRIVEL

請回想一下,僅僅是十年前,你會不會記得很多親朋好友的電話號碼?什麼時候開始,你記不住你喜歡的電影的主角叫什麼名字?也許你已經患了「數位痴呆症」(Digital Dementia ),而那僅僅是因為使用太多電腦、智慧手機、網際網路造成的。而且據專家表示,南韓已經遭到「數位痴呆症」的入侵了。
眼鏡或隱形眼鏡可以改善近視、遠視、散光、老光眼等問題,但是其他眼部疾病,很多都要透過藥物或手術治療,隨著年齡增長,「老年黃斑部病變」就是其中一種。不過科學家正在研發一種搭配隱形眼鏡與液晶眼鏡的方式,改善老年黃斑部病變造成的視力退化,而且這個方法比較美觀又不顯眼,病患的社交生活不會受到影響。
還記得「後宮甄嬛傳」裡用銀針試毒的的戲碼嗎?現代生活中毒物太多了,用銀測毒沒什麼用(註1),不過研究證實人工器官的表面塗層裡如果含有銀,15%含量能有效防止細菌附著,也就能降低人體被感染的機會。
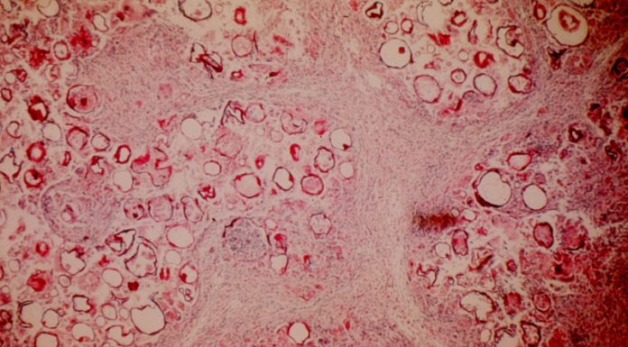
各種癌症成為過去60年來人類主要的死亡原因,但醫學界到目前為止,還無法形成關於癌症的完整理論與遏止死亡的有效辦法。或許,該換物理學家試試看?
(Credit: Cambridge Consultants)第一型糖尿病患者,由於完全失去分泌胰島素的能力,必須每天注射胰島素。在1950年代,有1/3的第一型糖尿病患者在確定診斷後活不過25年,隨著醫療科技的進步,現在只有7%的第一型糖尿病患者在確定診斷後活不過25年,雖然已經大有改進,但是糖尿病的死亡率仍然遠高於一般人。
癌症令人聞之色變,直覺認為它是壞東西。但從物理學家的角度看,它不見得壞,它很可能只是細胞一時誤入岐途,或許還有逆轉的機會,而這一切的關鍵可能都落在腫瘤細胞的電位差上頭。
(Credit: Paramount Pictures)還記得吳宇森執導,尼可拉斯凱吉與約翰屈伏塔執導的電影《變臉》(Face/Off)嗎?裡頭主角與反派換臉好像換面具一樣簡單,真實世界倒底能不能這樣換臉呢?
台灣戲劇泰斗李國修大師,於 2013 年 7 月 2 日凌晨因大腸癌病逝,除了不捨他抗癌多年仍不敵病魔,撒手離開他熱愛的舞台與人生,如何預防大腸癌再度成為大家關心的議題。而最近的研究發現阿司匹靈(aspirin)可以預防大腸癌,這個便宜又古老的藥物,或許能再度成為我們的救星。
一種新的自動化診斷方法可以在兩小時內快速又精準地確認造成敗血症的細菌種類,並且可以檢出三種抗生素抗性基因,對於敗血症的關鍵救治過程將有很大的幫助。
我們已經報導過很多針對第一型糖尿病的醫療科技,包括奈米膠質、人造胰島機,不過如果能夠「治療」第一型糖尿病患者,讓他們能恢復自己產生胰島素的能力,那是最好了,但有可能嗎?