星期四, 23 4 月, 2026

旅 TRIVEL

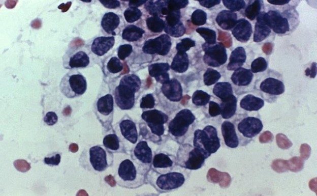
人們對於「癌症」的印象似乎只有一種:致命、會擴散、很難治的病。其實癌症是很多先天或後天因素造成的病症總稱,到目前為止醫師必須透過活體組織切片的方式確認是否為癌症,但這個方法即將過時。透過基因組學,科學家已經可以透過分子層級的變異找到解答,不但能藉此找到更多致癌基因,甚至還能將癌症重新分類,在現有的基礎上馬上創造出更多療法。
先前我們報導 FDA 所屬的學者建議破格加速核准 Perjeta 可以應用在早期乳癌患者,甚至是進行術前治療,如今FDA提前確定通過核准 Perjeta 可以應用在某些容易轉移的高危險型早期乳癌,在術前先行投藥治療,以減少或延遲術後復發。
癌症治療一向是愈早期效果愈好,如果用1cc的血就能抓出目前體內所有種類腫瘤細胞,那會是多麼令人興奮的事。而找到癌細胞後若能將藥物精準地放到病灶所在,如果中間血管堵塞了能夠用藥疏通,癌症的存活率必能有效提昇。
以測量運動量、提供健康管理的腕帶近一年來市場日益熱門,甚至傳出蘋果未來的 iWatch 也會提供類似的機能,為了站穩市場目前銷售不錯的 Nike FuelBand 與 Fitbit Flex 也將陸續推出新版本。
市售防蚊液裡主要成份 DEET,是經過科學證明有助驅蚊的物質,但它對人體也有不良的影響,且目前已知道蚊蟲在某些情形下會對DEET產生抗性。如今科學家透過研究昆蟲的嗅覺受體,找到了能夠干擾蚊蟲叮咬人類的關鍵,並且發現了三種安全的化合物可以取代 DEET,可以用來防止瘧疾、登革熱、西尼羅河病毒及黃熱病的傳播,未來甚至有機會應用到植物蟲害防治。
丹麥哥本哈根的科學家歷經四年時間,透過觀察與紀錄1200隻豬的飲食行為,找到了新的會引發肥胖的基因。這當然會適用在人類身上,因為人與豬的腸道系統類似。之所以不直接研究人,是因為人的飲食習慣彼此差異太大,讓實驗會因為變數太多而失敗。
紐約的新創公司 Genepeeks 將於12月開始營運,該公司將推出一個極為新穎的服務:他們將會透過檢查基因序列,找出小孩可能會有的先天性疾病並藉此篩檢出健康的精子。雖然許多人則質疑類似的服務將會有人道倫理上的疑慮,但 Genepeeks 宣稱目前該服務只適用於透過精子捐贈受孕的女性。
2013年諾貝爾生理或醫學獎正式公佈,詹姆斯羅斯曼(James E. Rothman)、蘭迪謝克曼(Randy C. Schekman)與湯馬斯居德霍夫(Thomas C. Südhof)以研究細胞內的運輸系統「囊泡」(Vesicle)的運作得獎。將囊泡想像成你每天上班上學會用到的交通工具,就可明瞭其重要性。那諾貝爾生理醫學獎從1901年第一屆以來,還有什麼重要的研究成果?我們以得獎年代排列逐一介紹。
抗生素濫用已經成為當代醫學界與畜牧業一個很嚴重的問題,濫用的結果造成細菌抗藥性,人生病藥卻沒效了。雖然大家都知道嚴重性,但減少使用抗生素可不是馬上就能達成。那麼把吃下去的抗生素「關掉」呢?
阿茲海默症早期診斷工具缺乏,一直是醫界感到棘手之處,因此也是許多學者研究方向,像我們之前有報導「未來可透過驗血早期發現阿茲海默症」,不過現在可能還有另一個更簡單的方法可以判別:聞一聞花生醬。